CIRUGÍA ORAL
Procedimientos dentales
con precisión y seguridad
La cirugía oral permite tratar condiciones complejas mediante procedimientos especializados. En Zirconia Dental realizamos intervenciones con tecnología avanzada y un enfoque seguro y controlado.

+30 años de experiencia
Laboratorio dental propio
PROCEDIMIENTOS NECESARIOS
Cuando se requiere
una intervención especializada
Algunas condiciones dentales no pueden resolverse con tratamientos convencionales y requieren procedimientos quirúrgicos para proteger la salud oral.
- Dientes retenidos
- Cordales (muelas del juicio)
- Infecciones dentales
- Dientes no restaurables
- Preparación para implantes

¿QUÉ ES LA CIRUGÍA ORAL?
Tratamientos quirúrgicos
para la salud dental
La cirugía oral incluye procedimientos que permiten tratar problemas dentales complejos, eliminar infecciones y preparar la boca para tratamientos posteriores.
- Extracción de dientes
- Eliminación de infecciones
- Cirugías dentales especializadas
- Preparación para implantes
- Mejora de la salud oral

TRATAMIENTOS
Procedimientos dentro
de la cirugía oral
Realizamos diferentes procedimientos quirúrgicos según el diagnóstico del paciente.

Extracciones dentales
Extracción de dientes que no pueden ser restaurados o generan problemas.

Extracción de cordales
Remoción de muelas del juicio que causan dolor o complicaciones.

Cirugía preimplantológica
Procedimientos necesarios para preparar el hueso antes de colocar implantes..
SEGURIDAD Y CONTROL
Procedimientos
seguros y planificados
Cada procedimiento se realiza con planificación previa, control clínico y tecnología que permite mayor precisión y seguridad.
- Diagnóstico previo detallado
- Planificación del procedimiento
- Técnicas mínimamente invasivas
- Control del proceso
- Recuperación supervisada

CÓMO FUNCIONA
El proceso del tratamiento
El tratamiento se planifica cuidadosamente utilizando tecnología digital para lograr resultados seguros y predecibles.
Evaluación y diagnóstico
Realizamos estudios clínicos y radiográficos para determinar si el paciente es candidato.
Planificación digital
Diseñamos la posición exacta de los implantes mediante software especializado.
Colocación de implantes
Se colocan los implantes en posiciones estratégicas para soportar la prótesis.
Colocación de dientes
Se coloca una prótesis provisional que permite recuperar la sonrisa rápidamente.
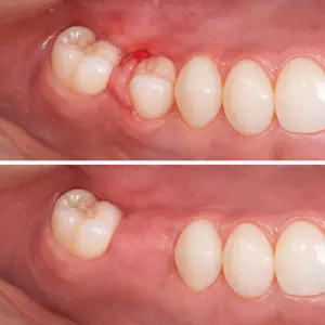
RESULTADOS REALES
Procedimientos
exitosos y controlados
Los procedimientos de cirugía oral permiten resolver problemas complejos y mejorar la salud oral del paciente.

Extracción dental
Paciente con diente no restaurable tratado mediante extracción.

Extracción de cordales
Remoción de muelas del juicio impactadas.

Preparación para implantes
Procedimiento quirúrgico previo a implantes dentales.
TESTIMONIOS
Pacientes tratados
con cirugía oral
Nuestros pacientes destacan la seguridad del procedimiento, la claridad en el proceso y la recuperación controlada después de la cirugía.
PREGUNTAS FRECUENTES
Resolvemos tus dudas
sobre cirugía oral
Recupera tu Confianza
Recibe un tratamiento
seguro y especializado
Agenda una valoración para determinar si necesitas un procedimiento de cirugía oral.




