ORTODONCIA
Alineamos tu sonrisa
con precisión y estética
La ortodoncia permite corregir la posición de los dientes para mejorar la función, la estética y la salud oral. En Zirconia Dental ofrecemos ortodoncia invisible y metálica según las necesidades de cada paciente.

+30 años de experiencia
Laboratorio dental propio
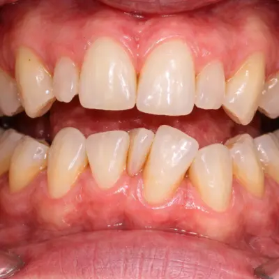
DIENTES DESALINEADOS
Cuando la posición
de los dientes afecta tu sonrisa
Los dientes desalineados no solo afectan la estética, también pueden generar problemas en la mordida, dificultad para limpiar los dientes y desgaste dental.
- Dientes torcidos o apiñados
- Espacios entre dientes
- Problemas de mordida
- Dificultad para higiene
- Desgaste dental

¿QUÉ ES LA ORTODONCIA?
Corrección de la posición
de los dientes
La ortodoncia es la especialidad encargada de alinear los dientes y corregir la mordida mediante tratamientos progresivos que mejoran la función y la estética.
- Alineación dental
- Corrección de mordida
- Mejora estética
- Facilita la higiene oral
- Resultados duraderos

OPCIONES DE TRATAMIENTO
Ortodoncia según
tu estilo de vida
Ofrecemos dos opciones de ortodoncia que se adaptan a diferentes necesidades estéticas y funcionales.

Ortodoncia invisible
Alineadores transparentes Invisalign® removibles que permiten corregir la posición de los dientes de forma discreta y cómoda.

Ortodoncia metálica
Brackets tradicionales que permiten corregir casos más complejos con alta efectividad.
TRATAMIENTO PERSONALIZADO
Planificamos tu tratamiento
de forma precisa
Cada caso es evaluado para determinar la mejor opción de ortodoncia, considerando estética, función y tiempo de tratamiento.
- Diagnóstico personalizado
- Planificación digital
- Seguimiento continuo
- Ajustes progresivos
- Resultados funcionales y estéticos

CÓMO FUNCIONA
El proceso del tratamiento
El tratamiento se planifica cuidadosamente utilizando tecnología digital para lograr resultados seguros y predecibles.
Evaluación y diagnóstico
Realizamos estudios clínicos y radiográficos para determinar si el paciente es candidato.
Planificación digital
Diseñamos la posición exacta de los implantes mediante software especializado.
Colocación de implantes
Se colocan los implantes en posiciones estratégicas para soportar la prótesis.
Colocación de dientes
Se coloca una prótesis provisional que permite recuperar la sonrisa rápidamente.
RESULTADOS REALES
Sonrisas alineadas
y armónicas
Los tratamientos de ortodoncia permiten mejorar la alineación dental logrando una sonrisa estética y funcional.

Corrección de apiñamiento
Paciente con dientes apiñados tratado mediante ortodoncia.

Alineación dental
Corrección de espacios entre dientes.
TESTIMONIOS
Pacientes que alinearon
su sonrisa
Nuestros pacientes destacan la mejora estética, la comodidad del tratamiento y la confianza que recuperan al ver su sonrisa alineada.
PREGUNTAS FRECUENTES
Resolvemos tus dudas
sobre ortodoncia
Recupera tu Confianza
Alinea tu sonrisa
con ortodoncia
Agenda una valoración para conocer cuál opción de ortodoncia es la mejor para ti.





